PHÁT HIỆN DỊ VẬT NỘI KHỚP HÁNG VÀ TỔN THƯƠNG MẠC GIỮ BÁNH CHÈ – ĐÙI TRONG CÙNG BÊN: VAI TRÒ PHỐI HỢP LÂM SÀNG VÀ CHẨN ĐOÁN HÌNH ẢNH
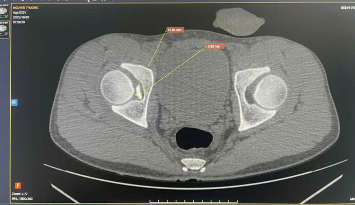
1. MỞ ĐẦU 📚Tổn thương phối hợp giữa dị vật nội khớp háng và mạc giữ bánh chè – đùi trong (Medial Patellofemoral Ligament – MPFL) là tình huống hiếm gặp trong chấn thương chỉnh hình. 👉Các biểu hiện lâm sàng thường không đặc hiệu, dễ bị che lấp bởi triệu chứng đau đa vùng sau chấn thương, dẫn đến nguy cơ bỏ sót tổn thương nội khớp nếu không được đánh giá hình ảnh đầy đủ. 💥Việc phối hợp giữa khám lâm sàng tỉ mỉ và chẩn đoán hình ảnh chuyên sâu (CT, MRI) đóng vai trò quyết định trong việc phát hiện sớm, định hướng điều trị và tiên lượng phục hồi chức năng vận động cho người bệnh. 2. CA LÂM SÀNG 📚 Bệnh nhân nam, sau chấn thương biểu hiện đau vùng háng và gối phải, hạn chế vận động chi dưới cùng bên, đã khám ở BV tuyến trước không xác định được tổn thương. Đêm ngày 03/10, chuyển đến Bệnh viện Quân y 17, qua khám lâm sàng ghi nhận đau sâu vùng háng, đau mặt trong gối khi vận động gấp duỗi, khi sờ ấn, không có biến dạng. 📚Hình ảnh CT scan khớp háng phát hiện một dị vật nhỏ nằm trong ổ khớp háng phải, nghi là mảnh xương vỡ gây kẹt khớp sau chấn thương. MRI khớp gối phải cho thấy tổn thương mạc giữ bánh chè – đùi trong (MPFL) tại chỗ bám vào xương bánh chè, kèm tràn dịch khớp nhẹ. 👉 Nhờ phối hợp chặt chẽ giữa bác sĩ lâm sàng và bác sĩ chẩn đoán hình ảnh, tổn thương phối hợp hiếm gặp này được xác định chính xác, giúp tránh bỏ sót dị vật nội khớp và mô mềm quanh gối khó phát hiện nếu chỉ dựa vào thăm khám. 👉Bệnh nhân được dự kiến lấy dị vật nội khớp háng bằng kỹ thuật ít xâm lấn, nội soi kết hợp màn hình tăng sáng hỗ trợ, bảo tồn mạc giữ khớp bánh chè – đùi trong do không gây di lệch xương bánh chè. 3. BÀN LUẬN 👉 Dị vật nội khớp háng là tổn thương ít gặp, thường thứ phát sau chấn thương gãy xương vùng chậu – ổ cối. Trong khi đó, rách MPFL là tổn thương hay gặp nhất trong trật khớp, gãy xương bánh chè cấp, nhưng hiếm khi xuất hiện đồng thời với dị vật nội khớp háng. Khi hai tổn thương này cùng tồn tại, triệu chứng thường chồng lấp, dễ dẫn đến chẩn đoán không đầy đủ hoặc điều trị chưa triệt để.




✓ Theo Guerrero và cộng sự, MRI là phương tiện hiệu quả nhất để nhận diện tổn thương MPFL và phân loại mức độ rách (tại điểm bám vào bánh chè, tại xương đùi hoặc rách đoạn giữa), trong khi CT giúp phát hiện chính xác các mảnh xương tự do hoặc dị vật trong khớp [3]. ✓ Các tác giả Selmene MA (2022) và Davis ES (2019) cũng khẳng định rằng kỹ thuật lấy dị vật nội khớp háng ít xâm lấn hoặc có hỗ trợ C-arm giúp giảm sang chấn mô mềm và rút ngắn thời gian hồi phục [1],[2]. ✓ Trong báo cáo này, việc phối hợp CT – MRI đã cho phép phát hiện đầy đủ cả hai tổn thương, đồng thời định hướng phẫu thuật hợp lý: lấy dị vật nội khớp nội soi, đồng thời khâu phục hồi cấu trúc mạc giữ khớp bánh chè – đùi trong nếu cần thiết. ✓ Cách tiếp cận này giúp hạn chế nguy cơ bỏ sót tổn thương nhỏ, bảo tồn cấu trúc khớp và phục hồi sớm chức năng vận động. 4. KẾT LUẬN ✓Tổn thương phối hợp giữa dị vật nội khớp háng và rách mạc giữ bánh chè – đùi trong là hiếm gặp và có thể bị bỏ sót nếu không được đánh giá toàn diện. ✓Sự phối hợp chặt chẽ giữa bác sĩ lâm sàng và chẩn đoán hình ảnh là yếu tố then chốt giúp chẩn đoán chính xác, lựa chọn chiến lược điều trị hợp lý, mang lại kết quả phục hồi tối ưu cho người bệnh. 📚Trường hợp tại Bệnh viện Quân y 17 là minh chứng cho năng lực chuyên sâu của đơn vị trong chẩn đoán và xử trí các tổn thương chấn thương chỉnh hình phức tạp, góp phần nâng cao chất lượng điều trị và an toàn người bệnh. 5. TÀI LIỆU THAM KHẢO [1]. Selmene MA, et al. Minimally invasive removal of intra-articular hip fragments. [Journal of Orthopaedic Case Reports]. 2022. [2]. Davis ES, et al. A novel technique to remove posterior intra-articular hip foreign bodies via anterior approach. Tech Orthop. 2019;34(4):302-306. [3]. Guerrero P, Li X, Patel K, Brown M, Busconi BD. Medial patellofemoral ligament injury patterns and associated pathology in lateral patella dislocation: an MRI study. Sports Med Arthrosc Rehabil Ther Technol. 2009;1:17. [4]. Conlan T, Garth WP Jr, Lemons JE. Evaluation of the medial soft tissue restraints of the extensor mechanism of the knee. J Bone Joint Surg Am. 1993;75:682-693. [5]. Nomura E, Inoue M, Osada N. Anatomical analysis of the medial patellofemoral ligament of the knee, especially the femoral attachment. Knee Surg Sports Traumatol Arthrosc. 2005;13:510-515. [6]. Smith A, et al. Medial patellofemoral ligament reconstruction: a systematic review. Orthop J Sports Med. 2024;12(1):1-10.
[7]. Krishnan BH, et al. Arthroscopic removal of intra-articular fracture fragment after hip dislocation. J Orthop Surg Res. 2014;9:87.
Nguồn bài viết: Bs CK2 Lê Hoài Nam, Bs CK1 Nguyễn Viết Lãm