- Chấn thương và bệnh lý khớp háng khá thường gặp, gây đau đớn, mất chức năng khớp, nguy cơ tàn phế và tử vong cao.
- Phẫu thuật Thay khớp háng, thành tựu to lớn của lĩnh vực Ngoại khoa, giúp giảm đau – phục hồi chức năng khớp – cải thiện chất lượng cuộc sống cho người bệnh
- Phẫu thuật thay khớp háng được thực hiện thường xuyên tại khoa chấn thương Chỉnh hình, Bệnh viện Quân y 17 cho các trường hợp :
- Chấn thương khớp háng: gãy cổ xương đùi di lệch ở bệnh nhân cao tuổi; gãy nhiều mảnh chỏm xương đùi; gãy liên mấu chuyển mất vững ở bệnh nhân cao tuổi, loãng xương nặng mà trước đó chức năng khớp còn tốt.
- Thất bại sau điều trị bảo tồn: khớp giả cổ xương đùi, tiêu chỏm xương đùi
- Thất bại sau phẫu thuật kết xương gãy cổ xương đùi, liên mấu chuyển xương đùi
- Bệnh lý khớp háng: hoại tử vô mạch chỏm xương đùi giai đoạn 3, 4 (Ficat); thoái hoá khớp háng , hư khớp háng do lao, sau nhiễm khuẩn khớp háng ổn định.
- Thay lại khớp háng .
- Tiến tới: Thay khớp háng điều trị bệnh lý u xương, ung thư xương.
- Người bệnh sẽ được tư vấn trước phẫu thuật, hướng dẫn phục hồi chức năng, chế độ dinh dưỡng, những điều nên làm và không nên làm sau phẫu thuật.
- Kết quả phẫu thuật thay khớp háng tại Bệnh viện Quân y 17 thời gian qua đã được chứng minh: an toàn – giảm đau – phục hồi chức năng khớp háng, chức năng lao động – gảm thiểu nguy cơ tàn phế – chi phí và thời gian điều trị hợp lý ./.

Gãy cổ xương đùi di lệch Thay khớp háng toàn phần điều trị gãy cổ xương đùi di lệch

Gãy liên mấu chuyển xương đùi, mất vững Thay khớp háng gãy liên mấu chuyển xương
ở bệnh nhân cao tuổi, loãng xương nặng đùi, mất vững, ở bệnh nhân cao tuổi,
loãng xương nặng

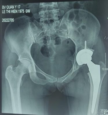
Khớp giả cổ xương đùi Thay khớp háng bán phần có xi măng

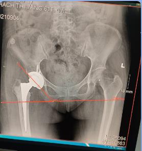
Thất bại sau kết xương gãy Thay khớp háng sau thất bại sau kết xương
liên mấu chuyển xương đùi gãy liên mấu chuyển xương đùi liên mấu chuyển xương đùi

Hoại tử vô mạch chỏm xương đùi độ 4 Thay khớp háng toàn phần điều trị hoại tử vô mạch chỏm xương đùi
( Ficat)

Hư khớp háng (đã điều trị lao 3 tháng) Thay khớp háng toàn phần điều trị hư
khớp háng đã điều trị lao 3 tháng

Thay khớp háng bán phần Thay khớp háng toàn phần với xi măng kháng sinh
không xi măng điều trị nhiễm trùng khớp nhân tạo không xi măng

Phục hồi chức năng khớp háng sau phẫu thuật
Nguồn :Thượng tá Bác sỹ Nguyễn Đình Kiên – CNK Chấn thương chỉnh hình




