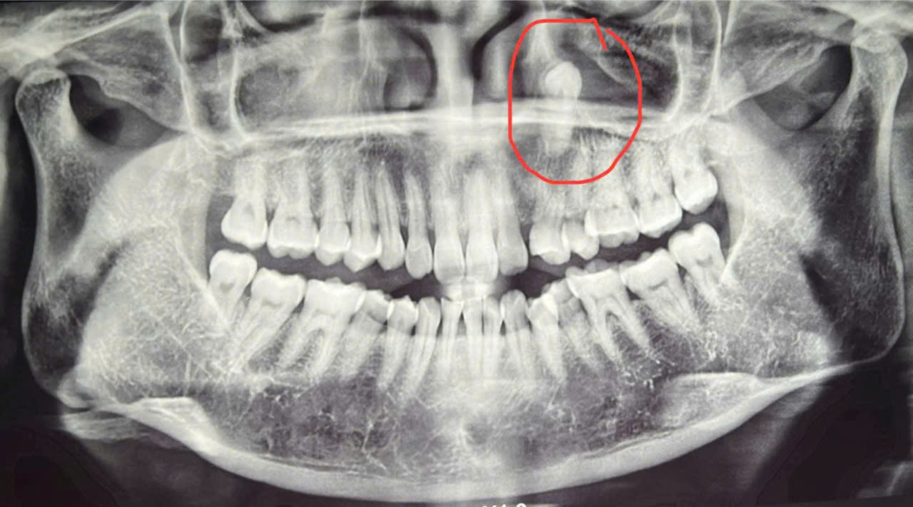
I. ĐỊNH NGHĨA Răng ngầm mọc lạc chỗ là tình trạng răng không mọc đúng vị trí giải phẫu bình thường của nó, thường bị kẹt trong xương hàm hoặc mọc lệch hướng ra ngoài, vào trong, lên trên hoặc xuống dưới so với cung răng. Có thể là răng ngầm hoàn toàn (chưa trồi
Yêu cầu chào giá sửa chữa máy CT-Scanner Optima 540
Case lâm sàng: *Bệnh nhân H.T.V.K, nam, 19 tuổi. *Tiền sử: Bản thân: chưa phát hiện bệnh lý mạn tính Giai đình: là con thứ 4 trong gia đình 5 người con, có anh trai cũng bệnh tương tự giống bệnh nhân, 2 chị gái và em trai khỏe mạnh *Bệnh sử: có tình trạng
“Ung thư không phải là dấu chấm hết – nếu chúng ta phát hiện sớm và điều trị kịp thời.” Hiện nay, ung thư đang trở thành gánh nặng y tế toàn cầu, là nguyên nhân hàng đầu gây tử vong. Tuy nhiên, 80% bệnh nhân có thể được điều trị hiệu quả nếu được
Bệnh viện Quân y 17 tiếp nhận trường hợp bệnh nhân nữ V.T.T.T, 79 tuổi, tiền sử rung nhĩ mạn tính, suy tim, đang dùng kháng vitamin K, vào viện trong tình trạng: da niêm mạc vàng đậm, huyết áp 89/56mmHg, mạch nhanh , không đều 121 ck/ phút, khó thở, SpO2 86%, bụng chướng.
Danh sách học viên thực hành
PHÁT HIỆN DỊ VẬT NỘI KHỚP HÁNG VÀ TỔN THƯƠNG MẠC GIỮ BÁNH CHÈ – ĐÙI TRONG CÙNG BÊN: VAI TRÒ PHỐI HỢP LÂM SÀNG VÀ CHẨN ĐOÁN HÌNH ẢNH 1. MỞ ĐẦU 📚Tổn thương phối hợp giữa dị vật nội khớp háng và mạc giữ bánh chè – đùi trong (Medial Patellofemoral Ligament –
TÓM TẮT Gãy đốt sống mới sau bơm xi măng điều trị xẹp đốt sống do loãng xương là biến chứng đã được mô tả trong nhiều nghiên cứu, đặc biệt tại các đốt sống liền kề hoặc ở các đốt sống khác và có thể xuất hiện rất sớm. Chúng tôi báo cáo một
1. Mở đầu Đái tháo đường (ĐTĐ) là bệnh rối loạn chuyển hóa mạn tính, đặc trưng bởi tình trạng tăng đường huyết kéo dài. Nếu không kiểm soát tốt, ĐTĐ dẫn tới hàng loạt biến chứng nguy hiểm: bệnh tim mạch, đột quỵ, suy thận, mù lòa, cắt cụt chi. Một trong những thách
Báo cáo danh sách học viên đăng ký thực hành chuyên môn khám bệnh, chữa bệnh tại Bệnh viện Quân y 17














